Kako prepoznati prve znake bolezni dlesni?

| v Scena

Bolezni dlesni predstavljajo eno najpogostejših težav z zdravjem ustne votline, vendar jih pogosto spregledamo ali ne jemljemo resno, dokler ne napredujejo v fazo, v kateri povzročijo resne posledice. Kdaj in kako je torej potrebno ukrepati?

Gre za postopne spremembe v ustni votlini, ki lahko, če jih ne prepoznamo in zdravimo pravočasno, vodijo celo do izgube zob. Ker sta zgodnje odkrivanje in ukrepanje zelo pomembna, je dobro, da poznate prve opozorilne znake, ki zahtevajo takojšnjo pozornost zobozdravnika.

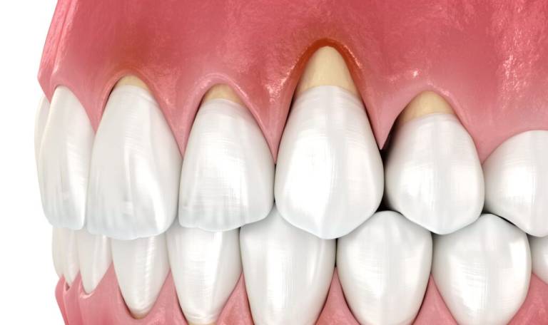
Vnetje lahko privede do paradontoze in umika dlesni

Bolezni dlesni so vnetni procesi, ki prizadenejo obzobna tkiva. Najpogostejši vzrok je kopičenje bakterij v zobnih oblogah, ki pa se tvorijo zaradi slabe ustne higiene. Kadar se te bakterije ne odstranjujejo redno, povzročijo vnetje dlesni, ki lahko napreduje v resnejša obolenja, denimo v paradontozo in umik dlesni.

Dejavniki tveganja

  • Slaba ustna higiena – neredno ali nepravilno ščetkanje zob vodi do kopičenja zobnih oblog.
  • Kajenje – škoduje krvnemu obtoku v dlesnih in zmanjšuje sposobnost telesa za boj proti okužbam.
  • Hormonske spremembe – nosečnost, menopavza ali puberteta lahko vplivajo na občutljivost dlesni.
  • Genetska nagnjenost – nekateri ljudje so že v osnovi bolj dovzetni za vnetja dlesni.
  • Slaba prehrana – pomanjkanje vitaminov in mineralov lahko oslabi imunski sistem.
  • Stres – lahko vpliva na sposobnost telesa za obrambo pred okužbami.
  • Kronične bolezni – sladkorna bolezen in druga stanja lahko povečajo tveganje za bolezni dlesni.
  • Uporaba določenih zdravil – nekatera zdravila povzročajo suha usta, kar veča tveganje za nastanek bolezni dlesni.

Prvi znaki bolezni dlesni, ki jih ne smemo ignorirati

1. Krvavenje dlesni

Eden prvih in najbolj očitnih znakov vnetja dlesni je krvavenje dlesni pri ščetkanju ali nitkanju zob. 

Zdrave dlesni ne krvavijo, zato je to opozorilni znak, ki ga ne smemo zanemariti. 
Če se krvavenje dlesni pojavlja redno, čim prej obiščite svojega zobozdravnika.

2. Rdečina, oteklina, bolečina – vnetje dlesni

Vnetje dlesni (gingivitis) povzroči pordelost, oteklost in občutljivost na dotik. Dlesni lahko postanejo boleče, kar je znak, da je stanje že napredovalo. Če vnetja dlesni ne zdravimo pravočasno, lahko napreduje v resnejšo obliko bolezni.

3. Umik dlesni

Če opazite, da se vaše dlesni umikajo in vaši zobje so videti daljši kot običajno, je to lahko znak začetne paradontoze. Umik dlesni povzroča izpostavljenost zobnih korenin, kar povečuje tveganje za občutljivost in propadanje zob. Poleg tega lahko povzroči majavost zob.

4. Slab zadah ali neprijeten okus v ustih

Kronična prisotnost bakterij v ustih lahko povzroči slab zadah in neprijeten okus, ki ne izgine niti po umivanju zob. Če imate dolgotrajne težave s slabim zadahom, je to lahko posledica napredovale bolezni dlesni.

5. Gnojni izcedek med dlesnimi in zobmi

V hujših primerih bolezni dlesni se lahko pojavi gnojni izcedek, ki nakazuje prisotnost okužbe in zahteva nujno obravnavo. To je znak resnega vnetja, ki lahko povzroči izgubo zob in širjenje okužbe na druge dele telesa.

6. Majavi zobje in spremembe v ugrizu

Če bolezni dlesni napredujejo, lahko povzročijo oslabitev zobne podpore, kar vodi do majavosti in celo izpadanja zob. Prav tako lahko opazite spremembe v ugrizu ali neprijetno občutljivost pri žvečenju.

Kako vam lahko zobozdravnik pomaga?

Če se soočate s krvavenjem, umikom ali vnetjem dlesni, ne odlašajte z obiskom zobozdravnika. Ta bo ocenil stanje dlesni in po potrebi predlagal ustrezno zdravljenje. 

Nekateri postopki, ki jih zobozdravnik lahko izvede, so:

  • Profesionalno čiščenje zob – odstranjevanje zobnih oblog in kamna, ki se jih s ščetkanjem doma ne da učinkovito odstraniti.
  • Navodila za izboljšano ustno higieno – pravilno ščetkanje, uporaba zobne nitke in ustne vode lahko bistveno pripomorejo k izboljšanju zdravja dlesni.
  • Globinsko čiščenje zobnih žepkov – postopek odstranjuje bakterije izpod dlesni in preprečuje napredovanje bolezni.
  • Kirurški posegi – v hujših primerih lahko zobozdravnik predlaga kirurško zdravljenje.

Kako preprečiti bolezni dlesni?

Najboljši način za ohranjanje zdravih dlesni je preventiva. Zato redno skrbite za ustno higieno in upoštevajte naslednje nasvete:

  • Zobe ščetkajte dvakrat na dan z mehko zobno ščetko.
  • Vsak dan uporabljajte zobno nitko in medzobno ščetko za odstranjevanje oblog med zobmi.
  • Izogibajte se sladki in kisli hrani, ki spodbuja razvoj bakterij.
  • Redno obiskujte zobozdravnika (preventivno vsaj dvakrat letno).
  • Prenehajte s kajenjem, saj negativno vpliva na zdravje dlesni.
  • Pijte dovolj vode in poskrbite za uravnoteženo prehrano, bogato z vitamini in minerali.
  • Zmanjšajte stres, saj ta negativno vpliva na sposobnost telesa za boj proti okužbam.

Bolezni dlesni so resna težava, ki lahko vodi tudi do izgube zob. Zato krvavenja dlesni, umika in drugih simptomov vnetja nikar ne ignorirajte. Poskrbite za dosledno ustno higieno, v primeru težav pa se obrnite za Zobozdravstvo Diamant, kjer boste deležni prijazne in strokovne oskrbe.

Komentarji

Komentarji

Lokalno

Vse v Lokalno

Šport

Vse v Šport

Kronika

Vse v Kronika

Politika

Gospodarstvo

Slovenija

Scena

Svet

Vse v Svet

Kultura

Vse v Kultura